全国白癜风品牌医院 白癜风协会临床协作医院 百姓放心示范医院 康复热线:13437147156
当前位置:主页 > 科研动态 > >

研究发现肤色较深人群易得白癜风

来源:武汉环亚白癜风医院 时间:2017-03-31 10:27:16

武汉环亚白癜风医院提醒,武汉环亚白癜风医院 一项新研究显示,深色皮肤人群更容易患上白癜风。在世界范围内,印度的白癜风发病率可高达4%,而在白人中则不到1%,两者的发病率相差显著。专家认为这与合成的成熟黑色素体(即第Ⅳ期黑色素)形态

武汉环亚白癜风医院一项较新研究显示,深色皮肤人群更容易患上白癜风。在世界范围内,印度的白癜风发病率可高达4%,而在白人中则不到1%,两者的发病率相差显著。专家认为这与合成的成熟黑色素体(即第Ⅳ期黑色素)形态上有所区别,具体表现在以下几个方面:

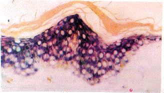
角朊细胞

A、黑色素体从黑色素细胞转移到临近的角朊细胞中时,浅色肤种黑色素体主要见于表皮的基低层与棘细胞层,而深色肤种人的表皮各层均可见到黑色素体。

B、浅色肤种的黑色体色泽相对较淡,体积较小,椭圆形,成集合型分布,亦即几个黑色素体裹在一起;深色肤种的黑色素体则相反,色泽深褐,体积较大,球形,呈单一型分布,亦即黑色素体单个存在。

黑色素微观结构

C、深色肤种的人黑色素合成代谢可能比较旺盛,如果一旦给予紫外线那样的激活因素,黑色素合成代谢会极为旺盛,因此会加快合成黑色素所需的微量元素消耗,同时造成黑色素细胞亢进;由于旺盛的黑色素代谢,其中间产物的过分堆积反过来又能杀伤黑色素细胞,从而阻碍了黑色素细胞的合成代谢而发生脱色性病变。

D、黑色素体在角朊细胞中的降解(融化、消失)过程亦不同。浅色肤种角朊细胞内黑色素体大部分被角朊细胞内的溶酶体直接作用而降解;而在黑色人种,角朊细胞的黑色素体则主要是后一条降解途径,即弥散到表皮各层,较后随角质层的脱落而与表皮分离,因此这就是深色肤种人肤色较深的原因。

本文原创于武汉环亚白癜风医院网站(http://m.0517bbb.com)转载请注明出处。

关键字: 延误疾病治疗(1)白癜风调理(1)成年白癜风(1)

上一篇:武汉环亚专家提醒白癜风患者:切勿用激素药物治疗白癜风 下一篇:研究发现,白癜风治疗跟体内多种微量元素有关

温馨提示:

1. 文章内容仅供参考,不作为疾病诊疗依据,患者请前往医院面诊。
2. 医院为了方便患者需求,友情开设免费咨询服务,权威专家医生在线 互动交流,解答各类白癜风相关 难题。
3. 医院开设就医"绿色通道",网上提前预约挂号,来院无需排队可直接就诊。

武汉环亚白癜风医院是一所以传统医学为基础,结合现代科技治疗为特色,兼顾白癜风教学培训...[详细]

  • 尖端设备
  • 光疗之:美国第二代Xtrac308nm准分子光皮肤治疗系统光疗之:美国第二代
  • 白癜风智能(AI)成像检测系统白癜风智能(AI)成像
  • 白癜风光动能治疗仪白癜风光动能治疗仪
  • PFJ-III型 白癜风治疗仪PFJ-III型 白癜风治
  • PFJ-I B型白癜风治疗仪PFJ-I B型白癜风治
  • 21世纪全球颠覆性白癜风技术——PT5全智能紫外线光疗体系21世纪全球颠覆性白
武汉环亚白癜风医院
武汉环亚白癜风医院来院路线

绿色通道:响应国务院号召开通网络预约

咨询热线:134-3714-7156

门诊时间:早8:00-晚17:30

医院介绍

|

媒体报道

|

专家团队

|

医疗设备

|

特色诊疗

|

康复病例

|

热门tags

|

RSS地图
在线咨询

|

联系我们

|